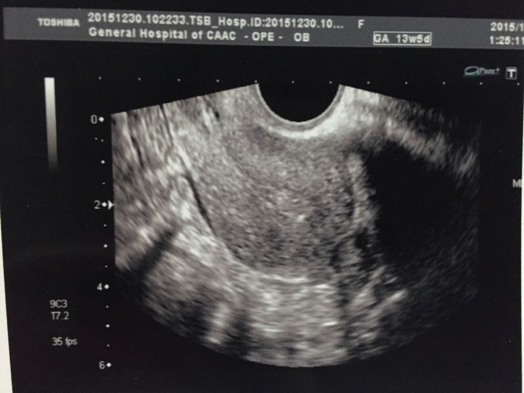
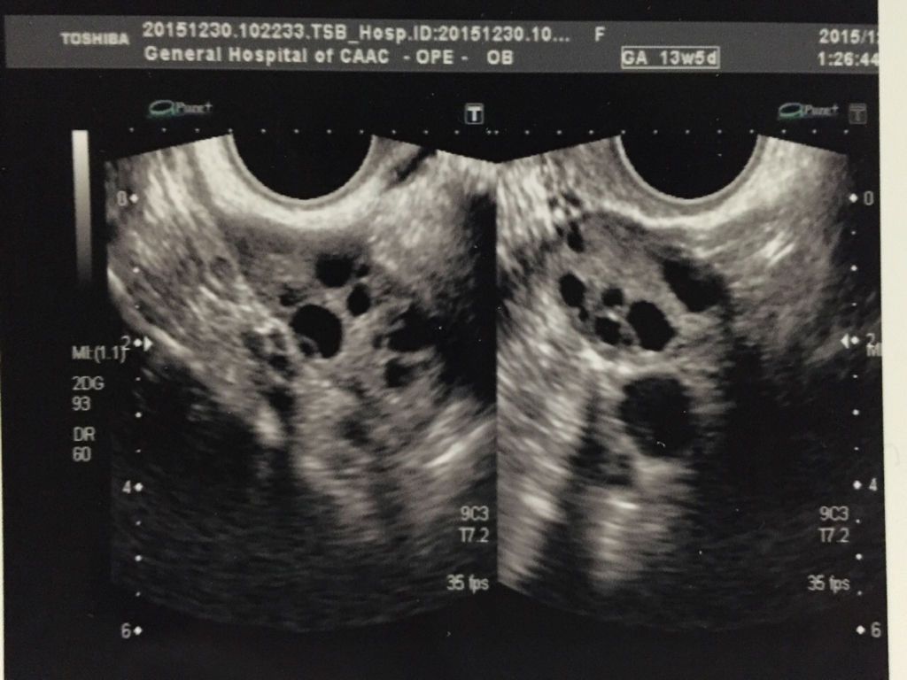
想要宝宝做了孕前检查,其中阴超报告医生说排卵少,有点多囊卵巢什么的,什么意思呢?严重吗?影响要宝宝 想要宝宝做了孕前检查,其中阴超报告医生说排卵少,有点多囊卵巢什么的,什么意思呢?严重吗?影响要宝宝吗?请高手医生给看看。谢谢。本人27周岁。 点击展开 匿名用户 2015-12-31 22:52 满意回答 从超声检查来看卵泡不够寸串圆润,是否能够成概兔吉熟排出还告搂需要后期监测才可以。没看到多囊提示。 东郭灵慧_eGp2 2015-12-31 23:00 宝宝知道提示您:回答为网友贡献,仅供参考。 为您推荐: 其他回答 就是卵子不大好 匿名用户 2015-12-31 22:56 相关问题 在丰城妇产医院孕前检查出多囊卵巢了,这个对身体有什么不好影响吗?会不会影响排卵? 我是多囊卵巢综合症,7月10号来的月经,25测的排卵同房,30号小腹疼痛了一天,请问这是怎么回事? 我是多囊卵巢综合证,孕前吃过二