患者女,23岁2011年9月脑胶质母细胞瘤外科手术,术后无措施 2013年5月做伽马刀治疗 是否可以备孕?

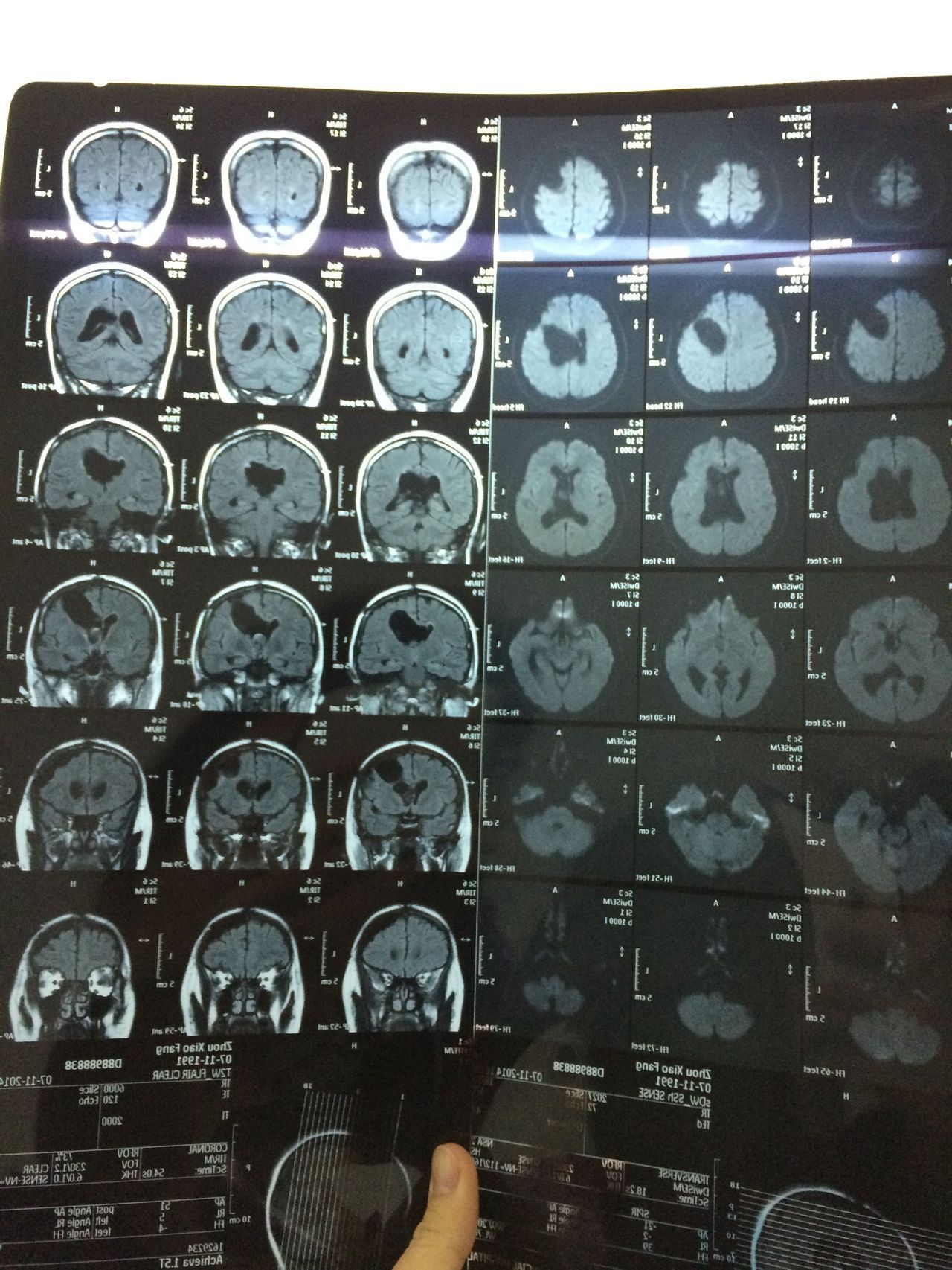
患者女,23岁。2011年9月脑胶质母细胞瘤外科手术,术后无措施,半年复查核磁共振。2013年5月做伽马刀治疗。持续每半年复查核磁共振。    患者身体状况良好,生活上基本没有问题。偶尔出现头晕不排除感冒等因素,但是如果晃到脑部,会有头晕或疼痛感出现。    另外,患者在手术前,经期不规则,大体上一两个月一次,时间不确定。术后,经期不规则更严重,2-3月一次,时间也不固定,但是量少,时有淤血,做过性激素水平检查及妇科常规,正常。2014年11月复查报告麻烦查看附件。    疑问:    1、患者现在需要积极的治疗吗?    2、患者的脑积水严重吗?在这三年内,脑积水虽有波动(增减),但是大体上在一个程度,较稳定。需要做颅内压检查吗?    3、患者现在适合备孕吗?(一直在避孕,暂时未知是否影响怀孕。)这个问题比较复查,还希望各位专家能给予分析利弊。(谢谢!)    3.1、怀孕各个阶段对患者的肿瘤是促进还是抑制作用是否有临床经验供参考?是否可以做一下评估。    3.2、怀孕各个阶段是否会患者造成负担,使其脑积水等加重?    3.3、如果现期不适合备孕的话,有存在“等待”的必要?也或许以后也是这种情况?    最后,很感谢各位专家百忙之中能够为本人了解这份信息。本人是患者的丈夫,发这个问题上来,只是想了解一下情况。虽然我们都很希望能够有爱的结晶,但是我十万分不愿意我的爱人去冒险。各位专家,希望能给予详细的说明和建议。    衷心的祝福你们。
点击展开
匿名用户    2015-01-28 17:29    

推荐回答

根据影像可以看到脑室轻度扩大,脑胶导劣报质母细胞瘤恶性程度非常高,且术后复发率很高,乔实再加上已经做了伽马刀,对垂体功能影响无法判断。目前治疗口服替莫唑胺治疗,是否可以怀孕,还们院是建议咨询产科医师,详细的检测体内激素水平。

lunmun   2015-01-31 15:32
宝宝知道提示您:回答为网友贡献,仅供参考。