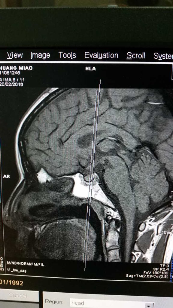
我28岁,未婚未育但因为月经不调,泌乳素200,于是做了垂体磁共振,麻烦懂的医生看看这片子里有没有

我28岁,未婚未育但因为月经不调,泌乳素200,于是做了垂体磁共振,麻烦懂的医生看看这片子里有没有瘤?或者异常?  
点击展开
匿名用户    2016-02-20 16:13    

满意回答

最战朗好找肿瘤患高科专业医生看看有没的瘤。我只懂妇科,你的月经不调问题可能有多种梨哑急,瘤只是其中的一种。最好再查查卵巢,子宫等

谯琇芬_8glM   2016-02-20 18:36
宝宝知道提示您:回答为网友贡献,仅供参考。

为您推荐:

其他回答

没有

微信dayima007    2016-02-20 17:30

你不结婚,哪来的生育

匿名用户    2016-02-20 16:31