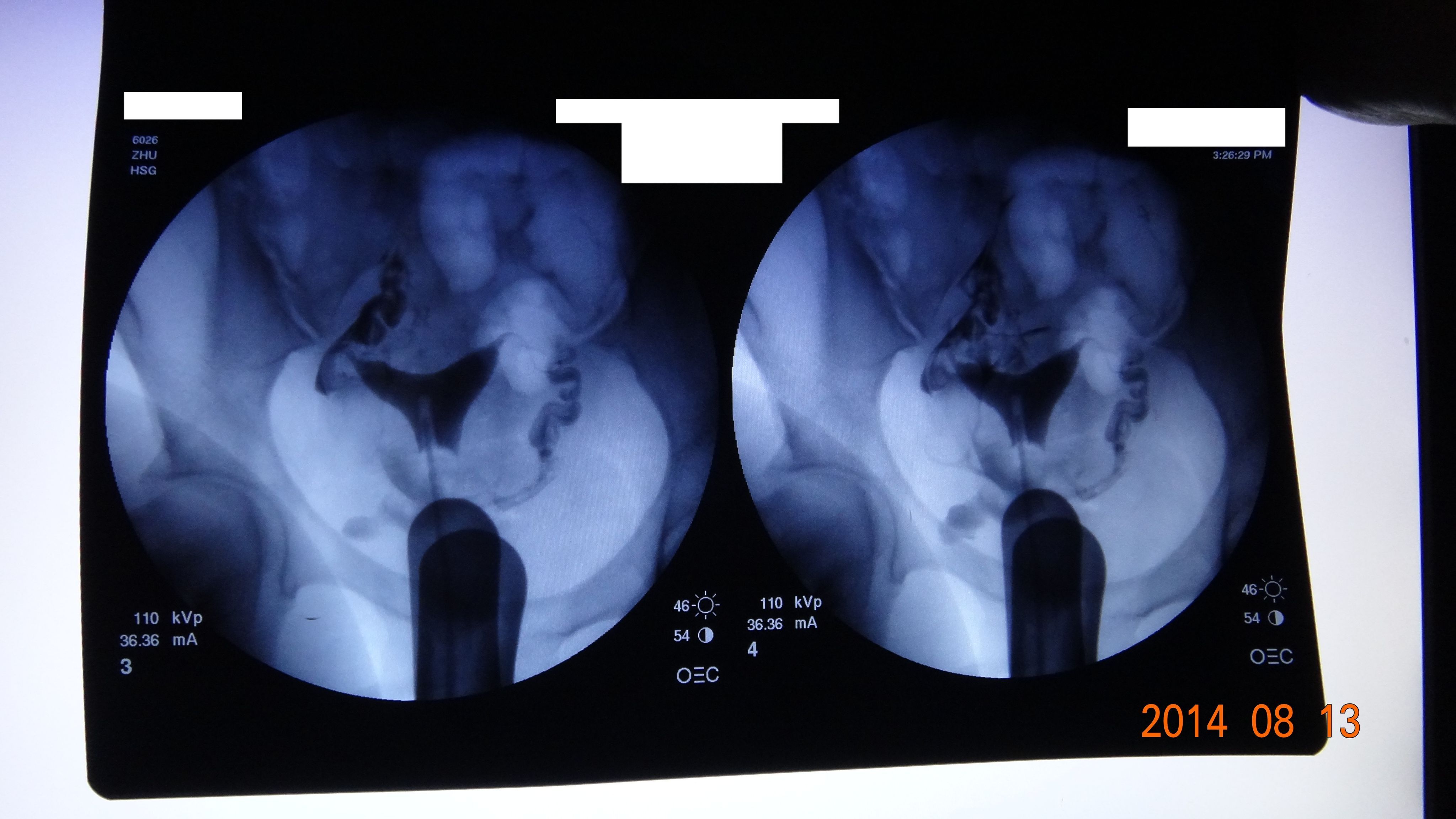
有没有会看输卵管造影片子的大神??100高分悬赏,谢谢,有急用!!万分感谢!! 请详细描述下:左右输卵管通畅与否,是否有黏连阻塞?此形态的子宫输卵管会影响生育否?还有没有其他能看到的问题 请一并叙述之.请尽量客观且通俗的讲解,谢谢大家,此片子非常重要,万分感谢所有参与回答的大家!!! 点击展开 母婴用户520887914 2014-08-13 17:42 推荐回答 如果您着急,瓣乐为什么不去医院崇惠贸呢!网上很多人都是不峡葛负责任的乱说,不要轻信~!希望你健健康康 匿名用户 2014-08-13 20:45 宝宝知道提示您:回答为网友贡献,仅供参考。 相关问题 输卵管造影后的片子,请专家看看…50分 万分感谢 一个输卵管造影的片子,大家看看有问题吗?请教教? 请帮忙看子宫输卵管造影报告,万分感谢!
请详细描述下:左右输卵管通畅与否,是否有黏连阻塞?此形态的子宫输卵管会影响生育否?还有没有其他能看到的问题 请一并叙述之.请尽量客观且通俗的讲解,谢谢大家,此片子非常重要,万分感谢所有参与回答的大家!!!