好奇怪,怎么回事,昨天晚上一个人在家睡觉,起床后,周围全都是血,我床上好多,我家小狗一直在看我,不

好奇怪,怎么回事,昨天晚上一个人在家睡觉,起床后,周围全都是血,我床上好多,我家小狗一直在看我,不出声,起来后好奇怪。吓死我了,那里的血,检查自己,没有伤口,上午去一趟医院全面检查没问题,还有我家都锁这门,没有人进来,在说我家住9楼,我是男的,这怎么回事,帮帮我,起来就是胸口特别疼,但是没有刀痕问题  这个是胸部的 
点击展开
匿名用户    2015-12-06 23:56    

满意回答

有没有做什么梦?

匿名用户   2015-12-07 00:03
宝宝知道提示您:回答为网友贡献,仅供参考。

为您推荐:

其他回答

你去医院全身体检吧

匿名用户    2015-12-06 23:59

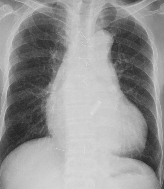
这不是一个人的片子吧。。第二张现实你肺气肿伴重度心脏肥大,赶紧住院吧,就你这情况分分钟心衰猝死

迟落雪    2015-12-07 00:12

恐怖片,还是悬疑片?

匿名用户    2015-12-07 00:03

狗来大姨妈了吧

匿名用户    2015-12-07 00:03
加载更多