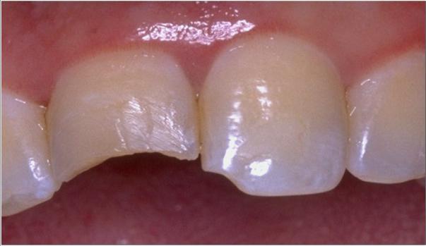
一次不小心摔倒了,门牙磕掉一半,请问还能补齐保持美观吗?补好后能正常饮食吗,会不会时间久了,补的牙 齿松动,导致原来剩余的牙齿受损呢。。。主要病症如下图所示,医生能给个答复吗 点击展开 匿名用户 2014-02-09 17:01 为您推荐: 其他回答 病情分析: 你好,你的情况,牙齿是前牙的切端折断。 指导意见: 可以进行烤瓷冠修复来恢复美观的,不影响正常的饮食 匿名用户 2014-02-09 17:04 相关问题 怀孕六个多月了今天吃东西磕掉一小块门牙,不去补好实在不太美观,都不好意思大声笑了,各位宝妈们给个意见可以去补吗? 刚刚 我家孩子,前门牙小的时候磕坏了,今年六岁了,牙酥了都掉了,就剩牙根了,需要拔掉牙根吗 2岁多宝宝门牙磕断,牙神经漏出了,需要治疗,该如何治疗,很疼吗?