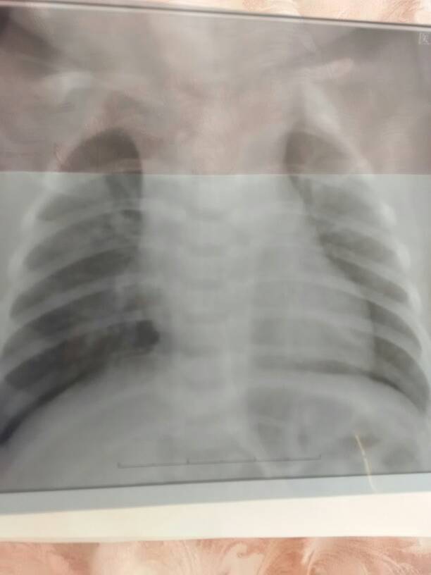
有儿科医生吗,帮忙看一下 双肺纹理增粗,增多,模糊,右肺野中内带夹杂少许点絮状模糊阴影,诊断右肺炎

有儿科医生吗,帮忙看一下。双肺纹理增粗,增多,模糊,右肺野中内带夹杂少许点絮状模糊阴影,诊断右肺炎,说要住院输液。这个严重吗,吃药可以好吗?焦心。。。
点击展开
原谅我面无表情却爱你好深_rwEO    2015-01-16 15:36    

为您推荐:

其他回答

你好,依你的描述及上传的胸片考虑是支气管肺炎的可能性大,建议住院治疗为好,支气管肺炎又称小叶肺炎,是小儿的一种主要常见病,尤多见于婴幼儿,也是婴儿时期主要死亡原因。肺炎多发生于冬春寒冷季节及气候骤变时,轻者先有流涕、轻咳、低热、纳差,1~3日后突然高热,体温38~39℃,咳嗽加剧、气促而发病;也有突...然发热、咳嗽、气急、烦躁而发病者。弱小婴儿大多起病迟缓,发热不高,咳嗽和肺部体征均不明显,常见拒食、呛奶、呕吐或呼吸困难,据急性起病、呼吸道症状及体征,一般临床诊断不难。必要时可做X线透视、胸片检查,或咽拭子、气管分泌物细菌培养或病毒分离。其他病原学检查包括抗原和抗体检测。白细胞明显升高和粒细胞增多、血清C反应蛋白升高时有助于细菌性肺炎的诊断。白细胞减低或正常,则多属病毒性肺炎。

全部展开 收起
cn#BVGQaupGuQ    2015-01-16 19:25

必须的打吊瓶

幸福的一家三口^_-    2015-01-16 16:14

这个只能输液,吃药治标不治本

136*****048_8i7w    2015-01-16 15:51