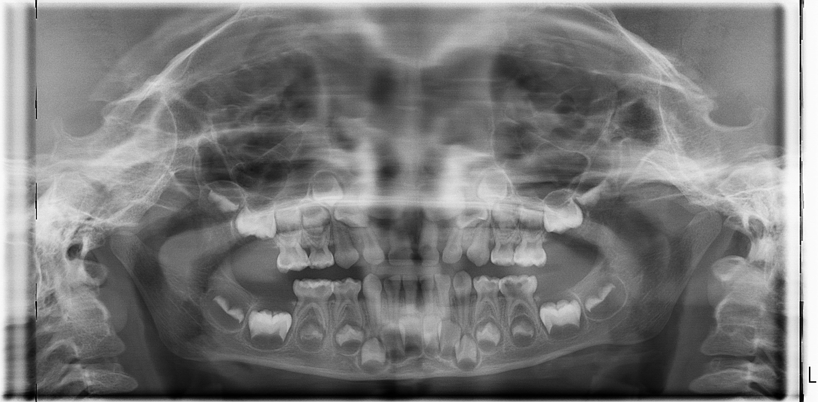
5岁小孩牙痛,有三颗牙烂了个洞 需不需要补牙? 给小孩拍的片,有颗牙发炎了,医生说要补牙治疗。 点击展开 匿名用户 2014-08-21 20:18 为您推荐: 其他回答 这个情况的话还是建议补上的,不然时间长的话这个会越来越严重的! 辉煌健康1978 2014-08-23 14:36 相关问题 我小孩4岁半有几颗牙虫蛀了,最近说牙痛需要补牙吗,能补吗? 快36周了,突然牙痛怎么办?可以去补牙吗? 关于孕晚期牙痛跟补牙的问题