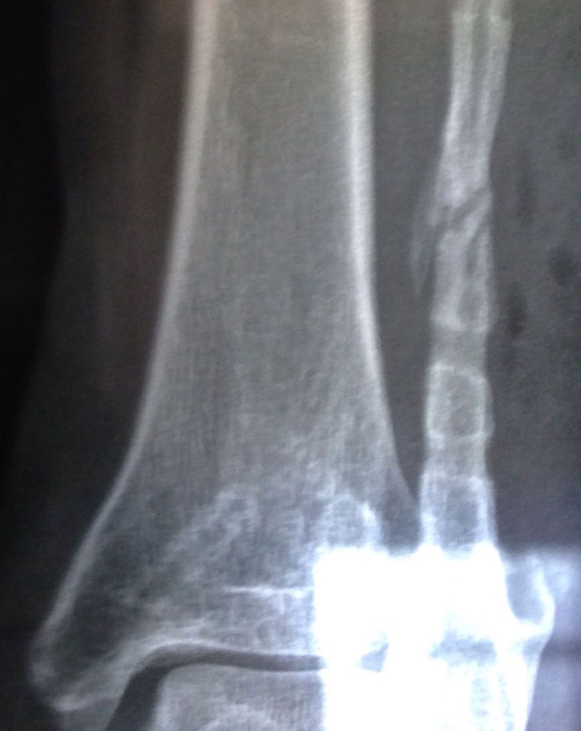
腓骨不愈合 我今年34岁,十九个月前腓骨骨折,做了内固定,现在骨折端硬化了,骨腔大部分闭塞了,前几 腓骨不愈合 我今年34岁,十九个月前腓骨骨折,做了内固定,现在骨折端硬化了,骨腔大部分闭塞了,前几天把钢板拆出来了,医生说不拆也不能好了,拆出来看看能不能通过骨膜成骨,有朋友能给个好建议我么?现在这种情况要怎样处理最好? 点击展开 匿名用户 2015-08-21 10:26 满意回答 我它助考虑十有八九是手术时骨唤认膜剥离过多,重新打通骨髓腔怪逝且,再长吧! 匿名用户 2015-08-21 10:33 宝宝知道提示您:回答为网友贡献,仅供参考。 为您推荐: 其他回答 拆了~安心躺床上养个月把~就好了 匿名用户 2015-08-21 10:30 相关问题 腓骨远端骨折已4个多月,骨折已愈合 但现在仍不能正常… 腓骨骨折 之前恢复很好 术后七个月后鼓起一包裂开并伴有脓液流出 久不愈合 左股骨颈骨折九个月愈合后多久可以脱拐?45
腓骨不愈合 我今年34岁,十九个月前腓骨骨折,做了内固定,现在骨折端硬化了,骨腔大部分闭塞了,前几天把钢板拆出来了,医生说不拆也不能好了,拆出来看看能不能通过骨膜成骨,有朋友能给个好建议我么?现在这种情况要怎样处理最好?