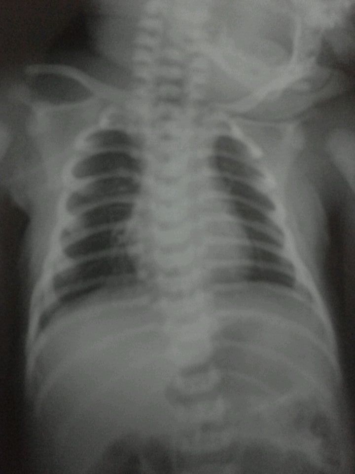
谁会看新生儿肺部X光片?? 孩子刚出生10天,肺部X光片我用拍上来的,不是很清晰不知那面是正,那面是反,拍了两边。 现在小孩吃睡正常,就是有时呼气有丝丝的声, 如果是轻微肺炎能不能开个药吃观查看一下,不行再住院。 点击展开 匿名用户 2014-12-10 22:19 为您推荐: 其他回答 孩子的片子倒是没有什么大的问题的,这种情况的话,不排除支气管炎等情况的可能性的。 知道张纪阳 2014-12-13 15:58 相关问题 新生儿肺部没发育好 新生儿肺部有锣声是怎么回事,怎么治疗 新生儿发烧跟肺部有关系吗