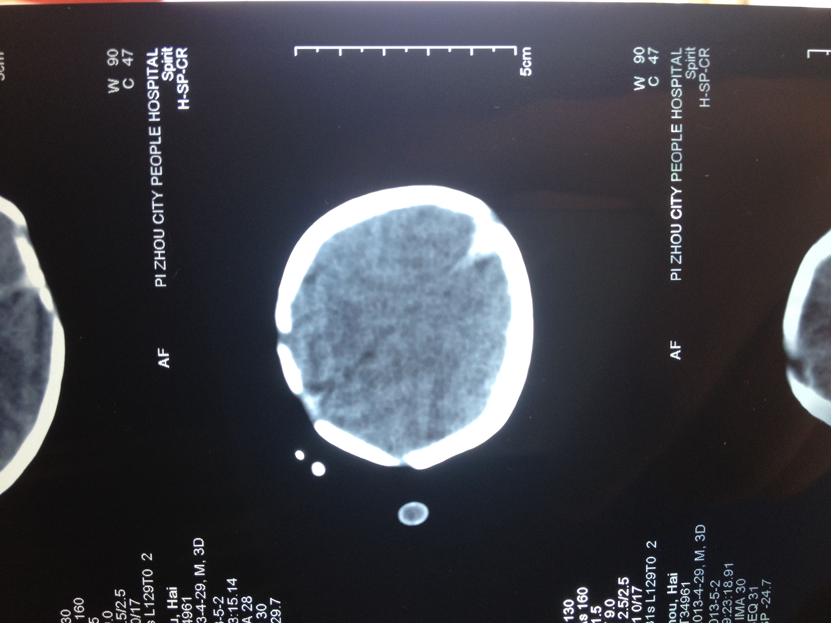
新生儿颅脑平扫CT图片 懂得来看一下 点击展开 匿名用户 2013-05-05 09:58 为您推荐: 其他回答 但从这一张上看不出什么明显的问题 不过不能排除 新生儿缺氧引起的脑损害 也就是缺血缺氧性脑病 大医精诚01 2013-05-05 10:00 相关问题 新生儿颅脑CT平扫 有一个星期时间头疼头晕今天我去做了颅脑CT扫说我是右… 有一个星期时间头痛头晕今儿我去做了颅脑CT扫说我是右…