2岁宝宝骨折,急急急!宝宝今晚玩耍奔跑时,摔倒姿势有异(速度很快不小心扑倒了,整个左手臂压在他

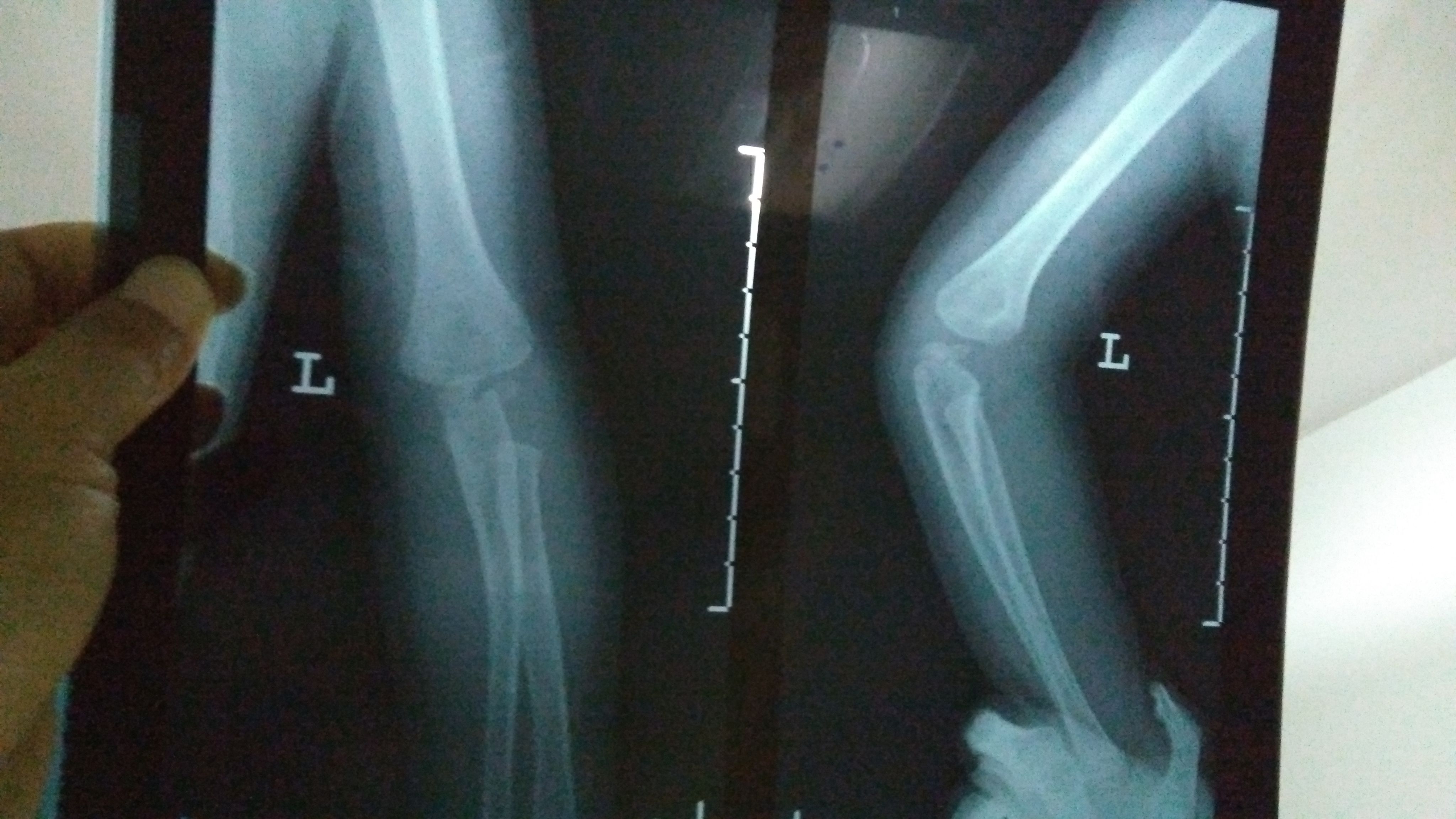
2岁宝宝骨折,急急急! 宝宝今晚玩耍奔跑时,摔倒姿势有异(速度很快不小心扑倒了,整个左手臂压在他自己身下,当时就骨折了)。 宝宝一直出冷汗表情痛苦哭,左手不动弹,我们赶紧去医院。以下是X光片(左手)和报告,打了石膏,医生让4-7天内去复查。 另外医生说小儿骨折这个部位骨垢骨折的情况比较少见,需要我明天带着片子报告去给他们主任看一下,看是否会影响手臂的功能性。如果有功能性影响,会影响孩子发育,还得纠正,做手术。 我知道医生总是会预先把最坏的结果告知患者,可是伤在儿身,痛在娘心。我担心害怕要做手术,加上回家后老公一直在说医生当时石膏没打好,让我带宝宝明天去重新打过石膏…说医生不太靠谱。确实,那个医生打石膏的时候还在接电话,一直不停跟他家人打电话接电话。 恳求有懂小儿骨折的医生帮帮我,看看我宝宝这个情况到底怎样?会影响他发育吗?可能要做手术纠正吗?跪求了!万分感谢!    
点击展开
jxfzkong    2015-07-28 00:00    

满意回答

找接骨的

匿名用户   2015-07-28 00:17
宝宝知道提示您:回答为网友贡献,仅供参考。

为您推荐:

其他回答

这个部位骨折是非常清楚的,先打石膏固定一下(不可重复打石膏),看看恢复情况,如果效果不好一周之内要手术治疗!

示秀媛_OXtq    2015-07-28 06:22

赶紧去专门的骨科医院吧,别耽误了孩子

母婴用户854538912    2015-07-28 00:03

去骨科医院,

匿名用户    2015-07-28 00:02