这一章节很容易混淆,所以下面的疾病诊断流程图可以更好的便于你记忆。(点击查看大图)

注 IF:免疫荧光;IHC:免疫组化;MS:质谱分析(图制作 kexiaosu)
有形结构沉积肾小球病(Glomerular Diseases With Organized Deposits),首先简单的理解其定义:在超微结构观察下,有特殊有形结构沉积的肾小球疾病, 如淀粉样变性肾病的淀粉样纤维物质、冷球蛋白血症肾小球肾炎的微管状结构、狼疮性肾炎的指纹状结构等,包括的疾病谱很广泛,如纤维样肾小球肾炎、免疫触须样肾小球病、淀粉样变性肾病、冷球蛋白血症肾小球肾炎、纤连蛋白肾小球病、SLE 等。
对于此类疾病的诊断和特点,大部分都需要通过电镜进行超微观察,了解他们的形态、直径等进行综合评估。我们主要向大家介绍纤维样肾小球肾炎、免疫触须样肾小球病,冷球蛋白血症肾小球肾炎和纤连蛋白肾小球病。
纤维样肾小球肾炎 (Fibrillary glomerulonephritis),是一种特殊的纤维样物质在肾脏沉积的疾病,主要病变部位在肾小球 , 临床可以表现为蛋白尿、血尿、高血压、肾功能不全等,病理主要表现为肾小球系膜增生,有时可出现膜增生样病变,诊断的关键点是电镜下可见直径在 15~30nm 的纤维样物质沉积,且刚果红或硫黄素 T 染色阴性。
病理特点
光镜: 无特异性表现,常表现为肾小球系膜增生,以基质增多为主,偶可表现为膜增生样改变;
免疫荧光: IgG 和或 C3 在肾小球系膜区和或肾小球毛细血管壁沉积;
电镜: 肾小球系膜区和或基底膜可见直径在 15~30nm 的无序排列的粗纤维物质沉积。
鉴别诊断
主要需与淀粉样变性肾病进行鉴别,一方面可以通过刚果红或硫黄素 T 染色进行初步鉴别,另一方搂蒸串面可以通过电镜下纤维物质的直径进行区分。其他需要鉴别的疾病包括:免疫触须样肾病、糖尿病肾病以及 FSGS 等,均需要通过病史及免疫荧光、电镜逐一鉴别。
光镜表现

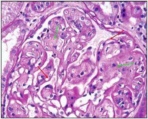
图 1 HE 染色 红色箭头:肾小球系膜区基质明显增多、系膜增宽,系膜细胞未见明显增生

图 2 PAS 染色 红色箭头:肾小球系膜区基质增多、系膜增宽,节段性硬化,系膜细胞未见明显增生;绿色箭头:肾小球基底膜增厚

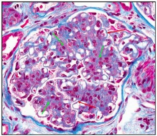
图 3 Gomori 染色 红色箭头:肾小球系膜、基底膜基质成分呈现绿色,而不是常规的蓝色

图 4 PASM 染色 红色箭头:肾小球系膜区基质增多,但不易着色;黄色箭头:肾小球基底膜可以明显着色
免疫荧光

图 5 红色箭头:IgG 在肾小球系膜区条索状沉积;黄色箭头:IgG 沿肾小球毛细血管壁沉积

图 6 红色箭头:IgG 在肾小球系膜区条索状沉积;黄色箭头:肾小囊基底膜:阴性;白色大箭头:IgG 沿肾小动脉管壁颗粒样沉积
电镜表现

图 7 红色箭头:肾小球系膜区杂乱无序、分支的纤维样致密物沉积,直径明显大于淀粉样变的纤维样物质

图 8 淀粉样变性肾病:红色箭头:肾小球系膜区杂乱无序的葛吉细短纤维样致密物沉积,直径明显小于上图的纤维样物质
免疫触须样肾小球病(Immunotactoid glomerulopathy), 它的命名和其电镜下出现的类似「触须样」结构沉积有关 , 临床表现多样,与纤维样肾小球肾炎类似,蛋白尿、血尿、高血压、肾功能不全等,该类疾病多由血液系统疾病引起,如浆细胞病或淋巴瘤或白血病等;病理改变多表现为膜增生性样改变或不典型膜性肾病等。
病理特点
光镜 :肾小球呈膜增生样改变,如系膜明显增生,向内皮下插入,或不典型膜性肾病改变,如除了肾小球基底膜不规则增厚外,还伴有系膜区敢们的明显增生,有时肾小球毛细血管腔内还可见到透明样血栓;
免疫荧光: IgG 和或 C3 在肾小球系膜区和或肾小球毛细血管壁沉积;
电镜: 肾小球系膜区、内皮细胞下或上皮细胞下可见弯曲的微管状结构沉积(形似小动物的触须),直径在 25~35nm。
鉴别诊断
主要鉴别的疾病为冷球蛋白血症肾小球肾炎,冷球蛋白血症肾小球肾炎同样可以出现类微管状的有形结构,必须通过病史及,实验室检测冷球蛋白进行区别。
此外还需要鉴别 SLE 引起的局灶性微管状有形结构沉积,以及与纤维样肾小球肾炎进行鉴别,均需要通过临床病史及实验室检查进行鉴别,有时候甚至需要长期随访才能将他们一一鉴别,毕竟在高倍的电子显微镜下它们的结构均比较相似。
光镜表现

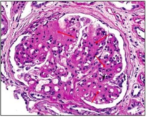
图 9 HE 染色 红色箭头:肾小球基底膜明显增厚;绿色箭头:肾小球毛细血管内细胞增生明显(系膜细胞、内皮细胞等)

图 10 PAS 染色 红色箭头:肾小球基底膜明显增厚并出现节段性双轨征;绿色箭头:肾小球毛细血管内细胞增生明显(系膜细胞、内皮细胞等)

图 11 红色箭头:肾小球基底膜明显增厚;绿色箭头:肾小球毛细血管内细胞增生明显(系膜细胞和内皮细胞)
免疫荧光

图 12 红色箭头:lambda 或 IgG 在肾小球系膜区、内皮下沉积;黄色箭头:lambda 或 IgG 沿肾小球毛细血管壁沉积
电镜表现

图 13 红色箭头:肾小球上皮细胞下呈平行束状排列的微管状致密物沉积

图 14 为图 13 放大版 红色箭头:肾小球上皮细胞下呈平行束状排列的微管状致密物沉积
冷球蛋白血症肾小球肾炎(Cryoglobulinemic glomerulonephritis),冷球蛋白是一种特殊的免疫球蛋白,在 37°C 时处于溶解状态,而在 4°C 时,就发生沉淀。
它可分为 3 型, I 型:多由血液系统疾病,如浆细胞病、淋巴瘤或白血病引起,以单克隆球蛋白沉积(IgG)为主;II 型:多由感染性疾病(丙型病毒性肝炎),或免疫结缔组织疾病(SLE)、以及浆细胞病等引起,以单克隆球蛋白(IgM)和风湿活动性 Fc 片段的多克隆 IgG 为主;III 型:多由感染性疾病,如 HCV、HBV,以及免疫结缔组织疾病引起,以多克隆球蛋白(IgM)和风湿活动性 Fc 片段的多克隆 IgG 为主。
病理表现多为 I 型膜增生性肾小球肾炎改变,并常伴有肾小球毛细血管腔内血栓形成。
病理特点
光镜: 肾小球毛细血管内细胞(系膜细胞、内皮细胞、炎症细胞等)增生明显,向内皮细胞下插入,形成双轨征,毛细血管腔内透明样血栓形成;
免疫荧光 :IgG 和或 IgM 在肾小球毛细血管壁、内皮细胞下或血栓处颗粒样或团块状沉积,有时可见到 kappa 轻链阳性;
电镜: 肾小球系膜区、内皮细胞下可见大量直径 20~30nm,短小弯曲微管状结构或结晶样结构沉积沉积。
鉴别诊断
主要与上面提到的免疫触须样肾小球病进行鉴别,通过临床病史及实验室冷球蛋白检查,一般可以鉴别,其他引起冷球蛋白血症的疾病均有相对特异的临床病史,如 SLE、HCV、单克隆球蛋白沉积疾病等,均可以通过病史及实验室检测,并结合免疫荧光进行鉴别。
光镜表现

图 15 HE 染色 红色箭头:肾小球毛细血管内细胞增生(系膜细胞、内皮细胞等)

图 16 HE染色 红色和大白箭头:肾小球毛细血管腔内透明样血栓形成;黄色箭头:肾小球毛细血管内细胞增生(系膜细胞、内皮细胞等)

图 17 PAS 染色:黄色箭头:肾小球毛细血管腔内大量透明样血栓形成

图 18 PAS 染色 红色箭头:肾小球毛细血管腔内透明样血栓形成;绿色箭头:肾小球毛细血管内细胞增生(系膜细胞、内皮细胞等)

图 19 六胺银染色 黄色箭头:肾小球毛细血管腔内透明样血栓形成;红色箭头:肾小球毛细血管内细胞增生(系膜细胞、内皮细胞等)
电镜表现

图 20 红色箭头 光镜时肾小球毛细血管腔内的透明样血栓的电子致密物;黄色箭头:内皮细胞下大量电子致密物沉积

图 21 红色箭头:肾小球内皮细胞下的电子致密物,形状如同短小弯曲的微管样结构

图 22 红色箭头:肾小球基底膜内微管状致密物沉积;黄色箭头:肾小球内皮细胞下微管状致密物沉积

图 23 为图 22 的放大版 红色箭头:肾小球基底膜内微管状致密物沉积;黄色箭头:肾小球内皮细胞下微管状致密物沉积
纤连蛋白肾小球病(Fibronectin glomerulopathy),是一种常染色体显性遗传疾病, 临床表现为蛋白尿、血尿、高血压、肾功能不全等,病理表现为肾小球系膜增生以及基底膜增厚,电镜下可见短小、有序排列的直径在 10~14nm 的纤维样物质沉积。
病理特点
光镜 :肾小球系膜增生,以基质增多为主,基底膜不规则增厚
免疫荧光 :无特异表现,多为阴性,偶可见弱阳性的 IgG 或 IgM、C3 在肾小球系膜区沉积;
电镜: 肾小球系膜区、内皮下可见直径在 10~14nm 的短小、有序排列的纤维样物质沉积。
鉴别诊断
主要与纤维样肾小球肾炎、III 型胶原肾病进行鉴别,通过免疫荧光及电镜检查,可以逐一鉴别。

图 24 HE 染色 红色箭头:肾小球毛细血管内细胞增生(系膜细胞、内皮细胞等);绿色箭头:肾小球系膜区条索状基质增多

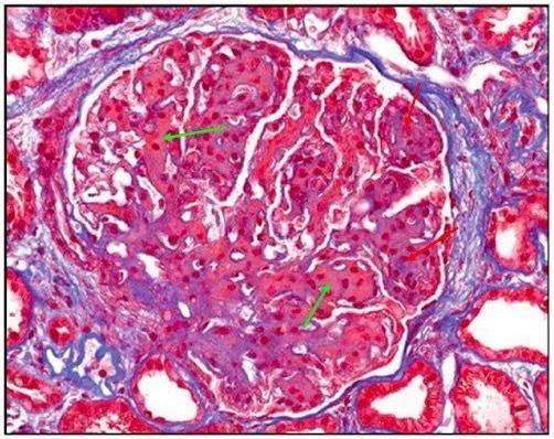
图 25 PAS 染色 红色箭头:肾小球系膜区基质增多,出现节段性硬化

图 26 Masson 染色 绿色箭头:肾小球系膜区基质增多,且呈红色,不同于其它病变的蓝色;红色箭头:毛细血管内细胞增生
免疫荧光

图 27 红色箭头:fibronectin 在肾小球系膜区呈条索状沉积
电镜表现

图 28 红色箭头:肾小球内皮细胞下可见大量电子致密物沉积;绿色箭头:肾小球系膜区大量电子致密物沉积

图 29 红色箭头:肾小球系膜区无定形、模糊的类似纤维样的电子致密物沉积
其他有形结构沉积肾病还包括:糖尿病肾病、III 型胶原肾病、SLE、淀粉样变性肾病等,下面简单通过相对应的图片进行展示,便于大家进行鉴别
糖尿病肾病

图 30 六胺银染色 红色箭头:肾小球系膜增生明显,基质增多为主,系膜区明显增宽,外观呈分叶状

图 31 红色箭头:肾小球系膜区杂乱、无序排列的无分支的纤维样致密物沉积

图 32 为图 31 放大版:红色箭头:肾小球系膜区杂乱、无序排列的无分支的纤维样致密物沉积
III 型胶原肾小球病(胶原纤维性肾小球病)

图 33 HE 染色 红色箭头:肾小球系膜区基质明显增多

图 34 PAS 染色 绿色箭头:肾小球系膜区基质增多;红色箭头:肾小球基底膜增厚

图 35 Masson 染色 红色箭头:肾小球系膜区增生,基质增多为主;黄色箭头:肾小球基底膜增厚

图 36 红色箭头:肾小球内皮细胞下胶原纤维样致密物沉积

图 37 红色箭头:肾小球内皮细胞下条索状胶原纤维样致密物沉积
狼疮性肾炎

图 38 红色箭头:肾小球系膜区微管样结构沉积

图 39 红色箭头:肾小球内皮细胞下指纹状结构沉积

图 40 红色箭头所指区域:典型的指纹状结构
图片来源:Heptinstalls Pathology of the Kidney
相关文章推荐:
1. 肾内病理图解:微小病变 2. 局灶节段性肾小球硬化
3.膜性肾病 4.IgA 肾病 5. 膜增生性肾小球肾炎
6. C3 肾小球病 7. 毛细血管内增生性肾小球肾炎
8. 新月体性肾小球肾炎 9. ANCA 相关性血管炎介导新月体性肾炎
10. 狼疮性肾炎 11. I~VI 型狼疮性肾炎 12.糖尿病肾病
13. 高血压肾病 14. 浆细胞病相关性肾损害
15. 淀粉样变性肾病
编辑:于昉
题图:视觉中国
参考文献:
1. 邹万忠,《肾活检病理学》第 3 版。