在儿童节到来之际,急诊医师盛迪却收到了琪琪(化名)小朋友送来的贺卡。
内页一笔一划的写着:“谢谢盛大夫治好我的牙,祝您天天快乐”。
最后还画上了一个吐着舌头的搞怪笑脸,可见琪琪也是个顽皮的“熊孩子”。


琪琪今年七岁,正是活波好动、精力旺盛的年纪。
二月的一天,不慎撞伤,满嘴鲜血,家长赶紧带着琪琪来到口腔急诊。

盛迪医师看到孩子的情况,立即开辟了牙外伤绿色通道。
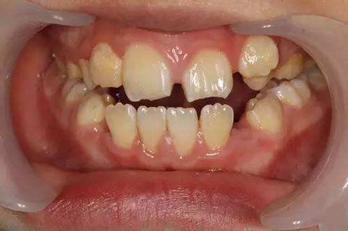
经过初步检查,琪琪牙龈外伤出血,乳牙脱落,上面2颗新换的门牙已经脱出牙槽窝,下面4颗新换的牙齿向舌侧倾倒,并伴有牙槽骨骨折。

替牙期的复杂牙外伤
盛迪医师虽然年轻,可已经在口腔急诊工作了近10年,也算经过见过形形色色的牙外伤。 但琪琪的外伤还是让盛迪感到难度不小。
孩子正处于替牙期,刚刚萌出的年轻恒牙,就这么放弃实在可惜。如果拔除,牙齿缺失要伴随整个青春期,直到18岁以后才能进行正式修复,严重影响功能和美观,特别是对孩子心理的影响,可能是一辈子的。
此外,由于还处在生长发育期,长时间牙齿缺失,不但会影响孩子的面型,还会造成牙槽骨严重吸收,等到孩子18岁,可以接受种植修复时,还将面临无骨可用的难题。
综合各种因素, 无论如何也要尽可能的保住年轻恒牙 ,能保多久保多久。盛迪坚定了自己的想法,与孩子家长进行了深入沟通:
“
只要家长和孩子配合治疗,回家做好护理,注意口腔卫生,定期复诊,哪怕只有一线丰北希望,盛迪也愿意帮孩子保住牙。
已经做好拔牙准备的家长,听说有希望保住孩子的牙,激动的不知道说些什么,只有不住的地点头。

尽可能保住年轻恒牙
虽然和家长谈话时,信心满满,但面对清创、缝合,盛迪还是感到压力“山大”。
处理牙外伤,最关键的是固定。通常是通过夹板、颌垫来固定松动牙,可孩子处于替牙期,口腔内情况复杂,既有即将脱落的乳牙又有新生的年轻恒牙。
乳牙的牙根和牙冠长度有限,不能满足固位要求,再加上牙槽骨骨折,牙龈撕裂伤严重,给本就复杂的治疗又增加了难度,只能通过牙龈悬吊外伤松动牙,初步稳固,再尝试固定。
“
盛迪说,外伤处理不好可能影响孩子一辈子,既要保证功能,还要尽可能地兼顾美观。
为此,盛迪特意在治疗方案中增加了牙龈乳头复位这个环节,将已经完全倾倒的牙龈乳头一点一点地翻开,推回到正常位置,再小心翼翼的进行缝合,固定,既要止血还要保障血供,防治坏死。缝合牙龈的同时复位固定松动牙。

整个过程,花了2个多小时。
有同事笑谈,“这个病例,让盛老师练起了针线活儿”。

6颗牙都活了
由于琪琪受伤的都是年轻恒牙,而每颗牙都处在不同的生长阶段,如果固定太紧可能抑制生长,如果固定不够紧,又起不到作用。
因此盛迪要求琪琪一周后来复诊,以便及时调整治疗方案。
经过多次复诊,琪琪受伤的6颗牙都奇迹般的恢复了。
家长每次来都是千恩万谢的,任谁也不会相信,当时已经伤得“稀糟烂”,竟能恢复得完好如初。
看到孩子预后效果这么好,盛迪很是欣慰。

指着琪琪最近一次复查时留下的照片,盛迪骄傲地说:“看得出这和自然形态有什么区别吗?”

专家点评
急诊综合诊疗中心副主任医师张昕说,替牙期孩子的牙外伤在治疗中 最难的是灿蛋崭必须兼顾到每颗牙所处的不同生长阶段 ,年轻恒牙牙根尚未发育完全,如果抽殊遭遇外伤,牙周和牙髓组织的变化异常复杂。因此,这样的牙外伤最为复杂难治。
口腔急诊医师提示
青少年活泼好动,特别是长期从事竞技性体育运动或进行外伤风险高的体育运动时,建议佩戴“运动护齿器”,以防止牙外伤的发生。
如果不幸遭遇牙外伤,请尽快到口腔急诊就诊,越早治疗,预后效果越好。
无论牙齿折断、脱出,就医时尽量将脱落部分保存在湿润介质(冷鲜牛奶或生理盐水),一起带到医院。
北京口腔医院 订阅号
科学 | 有用 | 及时 | 好玩
长按右侧二维码 关注吧