搜索
首页
问答
社区
百万粉丝计划
科学育儿
> 帖子详情
科学育儿
发帖:52265982
用户:66738888
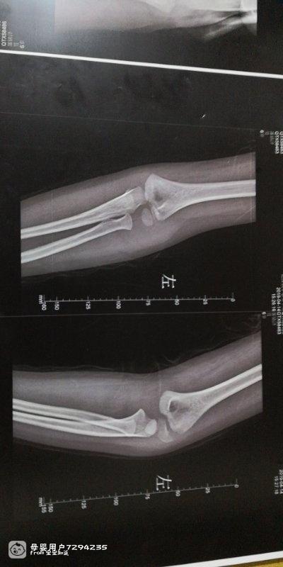
4岁小孩手肘断了怎么办
楼主
母婴用户7294235
宝宝11岁7个月24天
LV.1
2019-04-14 22:36
33
只看楼主
喜欢
(0)
回复
(0)
收藏
返回
顶端
扫码或保存
邀请好友扫一扫分享给TA或者