很多妈妈怀孕后,面对黑乎乎高惠的B超单子,根本不知道宝宝发育到啥程度了,问医生吧,人家那么忙,也不会耐心解释,今天我们就来看看,宝宝从卵泡形成到性别可见,到底是怎样一个过程,看完你就豁然开朗了。

上图是第1周,卵子排出了优势卵泡,等待优质的精子冲破重重阻碍,卵子也不是一动不动,它从卵巢出来会用到输卵管里,在此等候精子先生12-24个小时,如果相遇,那么就结合成受精卵,受孕就成功了。

上图是怀孕后,丛查受精卵经过了分裂,形成了细胞团,这个阶段还不能叫胎儿,只能叫胚泡,胚胎开始发育并分泌人体促绒毛性腺激素,不过此时的含量还很少,用验孕棒根本测试不出来。

上图可见子宫中的囊状结构,胎儿由两层的组织构成胚胎,所有的器官和组织都是有这些组织发育而成,胚胎羊膜囊的空腔中,开始有羊水积聚,为将来包裹和保护胎儿做准备。


细胞继续分化,有的分化成胎儿的大脑,有的分化成胎儿的肾脏和肝脏,还有的分化成心脏等,这个时期的宝宝叫做胎芽,依靠着卵黄囊提供的营养,还用不到母体的营养呢,所以此时有了怀孕反应,没有食欲也没有关系,对胎儿发育的影响不大。


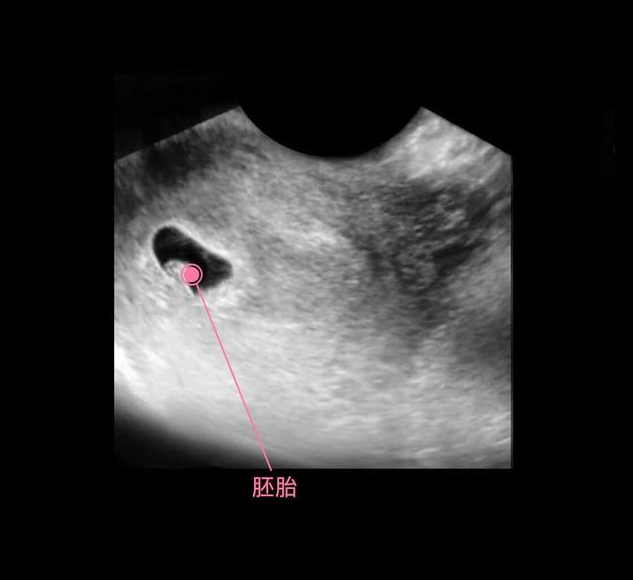
此时进入了第6周,胚胎已经具备了雏形,依稀可以卡到一个小人的形状,胚胎上下两面开始长出幼芽,将来发育成胎儿的手臂和小腿,面部器官开始形成雏形,不再是小海马的样子了。

在上图可见是个双胎妊娠,胎儿具有一个很大的头,和身材很不对称,是不是跟出生后的胎宝宝有点像了?其实此时的头部比例更悬殊,宝宝的额面部器官发育很明显,心脏也开始了跳动,出现了胎心,此时做B超,可见震了厘胎心胎芽。

此时的胎儿继续快速发育,器官已经不是模糊一片,而是具有了鲜明的特征,比如手指脚趾已经形成,耳朵和牙齿也在发育,消化器官也开始发育了,基本都在定向地发展。

此时的宝宝可以叫做胎宝宝了,因为它已经具备很多人类的特征了,他的各个器官、肌肉和神经系统已经发育的产不多了,顾家也开始越来越坚固,从图片上看,宝宝就是迷你型的胎儿,他的各个器官开始工作了。

进入第10周,胎儿的发育更细致了,比如眼睛和眼睑已经融合,眼睛清晰可见,手臂和胳膊等都很清楚,此时的胎儿开始发阿玉生殖器官,不过肉眼是看不出来性别的。

这一周的胎儿社会头和嘴巴开始吞咽羊水,宝宝的动作很轻微,妈妈是无法感受到胎动的,很多孕妈表示,在孕4个月左右才能感受到胎动,那是因为宝宝发育得很强壮了,也足够有力气了呢。

进入12周,胎儿开始在羊水中又动了,骨骼发育开始坚硬,宝宝的四肢开始做很多动作,肾脏开始分泌尿液,肝脏开始分泌胆汁,维持生命的重要器官更多地开始工作了。

13-15周,胎儿的眼睛开始转动,大脑也在飞速地发育,胎儿的小脸已经和成人差不多了,神经元开始增多,条件反射也开始增加,胎儿身材比例越来越合理了。

进入了16周,胎儿具备了很多本领,比如吞咽羊水、排出尿液、玩耍脐带、开始有了妈妈能够感受到的胎动,胎儿生殖器官的发育开始可见。

其实从孕9周开始,胎儿的性别就开始分化,孕17周,B超扫描清晰可见胎儿的性别,不过也有的宝宝因为胎位的原因,或者脐带遮挡,让医生产生了误判,男女会出现翻盘的可能呢。

由此可见,胎儿的发育是慢慢精细的过程,随着胎龄的增长,胎儿的各个系统发育更加完善,还会在子宫里学习各种本领,为的就是为出生做好准备呢。
您觉得胎儿的发育神奇吗?